Blog
ブログ
肩こり、首コリ、頭痛、むち打ちは、歯が関係しているかも
内科などに、長く通っていて、改善が見られない時は、
噛み合わせが関係しているかもしれません。
一度、調べて見られると良いでしょう。
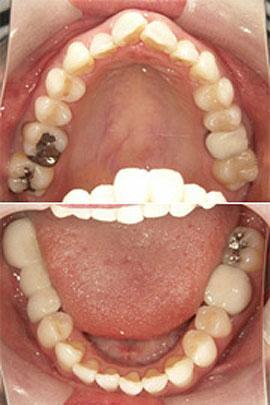
噛み合わせの調整
細かい、噛み合わせの調整です。
右上

噛み合わせがおかしいとの事。
噛み合わせを、中心位で確認しますと、
右上は1箇所しか噛んでいません。
左上

左は全く噛んでいません。
中心位の右

中心位という位置で噛み合わせを確認すると、上下の歯の間に、隙間があいているのが良く分かります。
中心位の左

右と同様、うまく噛んでいません。
噛み合わせを乱している当たり

赤い印が付いている部分が、邪魔して、噛み合わせがずれているのです。
ここを調整します。
調整中

奥の歯も当たってきたのが分かります。
ほぼ良好なかみあわせ

奥歯を、ほぼ良好な噛み合わせに整えることができました。
当院では、この様に、噛み合わせの調整が可能です。
同時に、体の色んな部分の不調、頭痛、首の痛み、肩こり、体調不順などが解消する事がよくあります。
患者さんへご注意
噛み合わせの治療は、よくトレーニングされた歯科医師にのみ、ご依頼下さい。
上記の写真で見ると、簡単そうに見えますが、非常に慎重に調整を行っています。
不用意な調整は、大きなトラブルを招きます。
当院にご相談される方は、他院での不用意な噛み合わせの調整で、さらにおかしくなったとおっしゃいます。
院長は、ホリスティックデンタルアソシエーションで、噛み合わせの治療をトレーニングして頂きました。
安心してお任せ下さい。
細かい、噛み合わせの調整2
左上

入れ歯のかみあわせを調整しました。
調整後は、頭痛、肩こり、体の調子も良くなったりします。
よく噛んでいるように見えます。
患者さんご本人も、噛み合わせが悪いとは思いっておられません。
しかし、本当の噛み合わせは、違うのです。
右上

ここもよく噛んでいるように思えます。
中心位の左上

中心位という位置で噛み合わせを確認すると、左は全く噛んでいません。上下の歯の間に、隙間があいているのが良く分かります。
中心位の右上

中心位という位置での噛み合わせは、右上4番目の歯だけ噛んでいて、赤い印の部分です。他の歯は全く噛んでいません。
噛み合わせを乱している当たり

右上4番の歯に、赤い印が付いています。ここが余分に当たって、噛み合わせを乱しています。
こういう噛み合わせを邪魔している所を調整して、噛み合わせを治していきます。
調整完了 左上のかみあわせ

中心位で、ぴったり噛みしめる事ができます。
調整完了 右上のかみあわせ

右上も隙間なく噛めるようになりました。
横への動き

右の横への動きもスムーズに動いているのが、色で確かめられます。
横への動き

左の横への動きもスムーズに動いています。
この様に、気が付かない噛み合わせの不具合を調整することによって、とてもよく噛めるようになります。
同時に、体の色んな部分の不調、頭痛、首の痛み、肩こり、体調不順などが良くなられる事がよくあります。
小さな虫歯を作っては治療しての繰り返し、日頃の癖で顎に痛みや音が
治療前の状態

- 痛みが出た時だけ歯医者さんにかかっていたた。
- 歯を削って詰め物をする、その繰り返しだった。
- 朝起床後の口の中がとても気持ち悪かった。
- 仕事のストレスから頬杖や食いしばり癖がひどくなった。
- 右の顎が「カクッ」と音がする。
- あくびをするのも、そーっとやらなくてはいけない、辛い状態。
治療の所見

治療の繰り返しにより、噛み合わせに狂いが生じていました。
前歯の噛み合わせも、微妙に噛んでいませんでした。
長年の歯石も多く付いていて、歯茎に腫れが見られました。
お手入れも決して上手とは言えない状態でした。
治療の内容

ぴったり合っていない被せ物のやり直しと、全体の噛み合わせの微調整を行いました。
前歯もしっかりと噛みあう状態になり、顎関節の症状も改善されました。
また、お口の健康な状態を保つお手入れの仕方をマスターされ、歯茎も健康的な状態に仕上がりました。
治療後の状態

- 頬杖などの癖、顎の痛みが消えた。
- 噛み合わせがこんなに大事だと思わなかった。
- 今までいかに無知なまま、治療を受けていたのかと痛感した。
- 歯も白く歯茎もピンク色となり、笑顔に自信が持てる。
噛み合わせが悪く苦労していた方。
治療前の状態

- 並びが悪かったので、噛み合わせが悪くて苦労していました。
- 磨きもしづらかったので、汚れが溜まりやすかった。
- 査結果をみてみると、とても芳しくないと思いました。
- 今まで放置した事を後悔しました。
治療前の所見

特に前歯が窮屈。
見た目だけでなく噛み合わせも良くない。
犬歯が本来の機能を果たしていない状態でした。
治療の内容

上下の犬歯がしっかりと嚙み合いました。
全体的に噛み合わせが安定しました。
歯磨きのお手入れもやりやすくなり、
お口の清潔さが大幅に向上しました。
治療後の状態

矯正治療中に痛いと感じる事は、ありませんでした。
抜歯をした時も痛みを感じず、とてもスムーズに済みました。
歯が動く事による痛みと、矯正装置がつく事で歯磨きのしづらさに苦労しました。
噛み合わせが改善された事で、
食事も歯磨きもストレスを感じなくなりました。
今まで気にしてきた歯並びが綺麗になり、気持ちが楽になりました。
他院でブリッジをしてから、噛み合わせが良くない
治療前の状態


他院でブリッジをしてから、噛み合わせがしっくりこなくなった。
肩こり・顎の痛みなどが始まった。
ブリッジの不具合を訴えても、分かってもらえず、何もしてもらえなかった。
治療に対して不信感を持った。
治療前の所見
数々の治療を受けてこられ、歯科治療に対して、いろいろな思いを持っていらっしゃいました。
先生が忙しく、話を聞いてもらえない歯科医院が多いようです。
治療の内容
患者さんの思いを一緒に解決していきました。
一つ一つの被せものの適合はもちろんのこと、前歯も含め、全体的な噛み合わせが改善されました。
治療後の状態


- ブリッジの高さがなかなか合わず、半ばあきらめる気持ちになりましたが、納得いくまで何度も作り直してくださった。おかげで安心しておまかせすることができました。
- 思ったより治療期間が伸びたが、最後まで根気よく丁寧に治療してくださったので自分も頑張ろうと思いました。
- 右の肩こりがひどかったのが首もまわるようになり楽になった。
- 顎がよくだるくなってガクガクいっていたのがなくなりました。
- 歯周ポケットも浅くなり、見た目もきれいになり、健康を実感できた
しばらく歯科医院に通わないうちに、差し歯が取れた
治療前の状態

- 時間的な余裕がなく、かなり進行してから通院していた。
- 自分の口の中の現状を見て、初めての事で正直驚いた。
- 説明をうかがっているうちに少しずつ冷静さを取り戻し、現実を直視できるようになりました。
治療前の所見
前歯の噛み合わせも均等ではなく、負担のかかる差し歯がよく取れてしまう状態でした。
左側の奥歯で十分に噛める状態ではありませんでした。
治療の内容

前歯の噛み合わせも均等になりました。
左側の奥歯もブリッジで噛み合わせを作り直し、全体的にバランスの取れた状態になりました。
歯茎も非常に引き締まっています。
治療後の状態

- 噛み合わせ等大変良好。
- 歯も白くなり快適。
- 原因を説明してもらった。
- 生活習慣を見直すきっかけになった。
「かみ合わせ」が良くない、よくあるケース
- 調整しましょうと勝手に削られた。
- 冠のかみ合わせが良くないけど我慢するしかなかった。
- かみ合わせの違う冠をいきなり装着された。
- かみ合わせがおかしいので、調整してもらったがよくならない。
- 顎や肩、背中までへん。マウスピースをするしかないと言われた。
上記1のように、かみ合わせの調整などは、気軽に行ってはいけないのです。
2や3。もっと丁寧に治療してあげてください。かわいそうです。
安全なかみ合わせの治療とは
冠などを作る場合
いきなり完成品を装着する事はありません。
必ず、仮の歯を作り、かみ合わせが良いか確かめます。
天然の歯を調整する場合
下記のように、歯科医師と患者さん両者が、どこを調整したら良いか意見が一致してから、初めて調整します。
勝手には調整しません。ご安心ください。
「習慣性咬合位」が分からなくなる事もある
「顎位」はいろいろある
一般的にいう「かみ合わせ」は「顎位」と言いますが、「習慣性咬合位」「中心位」「筋肉位」等があります。
噛み合わせが分からなくなった方は、ご自身が長年使っていたはずの「習慣性咬合位」が分からなくなっているのです。
避けたいトライ&エラー
分からなくなった「顎位」を、歯を削って探してはいけません。
トライ&エラーで探す試行錯誤法では、元のかみ合わせの位置を探すのはとても困難で、ご自分で調整しようとしても、ますます迷路に迷い込みます。
これは絶対に避けなければなりません。
では、基準はどこなのか 「中心位」や「筋肉位」
「中心位」や「筋肉位」が基準
当院では、歯科医も患者さんご自身も再現できる、「中心位」や「筋肉位」を基準にしています。
歯をグッと噛みしめた時、筋肉は下顎を上に引っ張りあげ、顎の関節頭は関節のくぼみに嵌まり込もうとします。この時、関節頭は関節のくぼみに嵌まり込み、歯もぴったり合っていて、関節と歯に均等に力がかかり、力学的に安定した状態になります。
「中心位」とは、この顎位の事をいうのです。
「中心位」は何度でも再現性がある
この顎位は、必ず再現できる、安定した位置なのです。
実際、この位置は、よくトレーニングされた歯科医が誘導すると、何度でも再現できます。
「中心位」は患者さんご自身でも再現性がある
決して強制的な位置でない事は、患者さんご自身でも、何度でも再現できる事から分かります。
今までは知らなかっただけなのです。
歯科医でも患者さんでも、「再現できる」「安定している事が分かる」という事がとても大切です。
なぜなら、噛み合わせが「再現できず」「安定しない」から、苦労しているわけですから・・・
「中心位」を邪魔する当りが分かる
そして、この位置に慣れますと、この位置で、歯の均等な接触を邪魔する「当たり」「接触」を、邪魔だと感じられるようになります。
これはご自身ではっきり確かめる事ができますので、とても安心です。
歯科医と患者さんの意見が一致する
歯科医と患者さん共に、「確かにそうだ」「ここが邪魔だ」「では、ここをこうしよう」と、意見が一致する事が大切ですね。
この過程を経ることが、一番大切なのです。
「中心位」で調整
患者さんご自身が邪魔だと感じるのですから、その邪魔な「当たり」「接触」を、歯科医が調整してあげると、うまくいきます。
歯の調整ですと、邪魔なとがりを「丸める」、邪魔な場所を「へこませる」と、楽になります。
歯が当らない不都合
もし、歯が「当たらない」「接触しない」ために、不都合があるのでしたら、”盛り上げ”て、「当たる」「接触する」ように、何らかの方法で、歯を作ってあげましょう。
冠による治療
形の悪い冠やブリッジですと、それを除去し、仮の歯を試してみましょう。
噛み合わせがよければ、その通りの噛み合わせで、完成品を作れば安心です。
以上を「中心位によるDowson法」といいます
Dowson法は、以上のように安全な噛み合せの治療です。
注).「中心位」という言葉は、歯科医学の進歩と共に歴史的に変遷して来ました。
昔の「最後退位」ではありません。
歯科医によって定義が違っている事があります。ご注意ください。
また、「筋肉位」という概念もあります。
あるタイプのマウスピースをつけ数か月すると、ここでよく力も入り、体調もよいという顎の位置が分かる事があります。
この位置は、前述の「中心位」より、前方にある事がよくあります。
この位置で体調がよく、この位置で日ごろ噛みたいということでしたら、この顎の位置に合わせて、噛み合わせを調整する、または作るという事になります。
どちらにしても、患者さんの体調が良くなることが基本です。
体験談をご覧ください
体験談を差し上げます
当院での検査「デンタルドッグ」を行う方には、当院で治療なさった方々の「治療体験談」の冊子を差し上げます。
どうぞご覧ください。
他の方法で治療なさる先生もおられます
当院のDowson法だけが随一の方法だとは申しません。
他の方法で、噛み合せの治療をなさる先生もおられます。
噛み合わせの具合は、個人によってすべて違います。
噛み合せの治療は、とても難しい事も知っております。
もし当院でよろしければ、お力になります。
この例の
年代 性別 50代 女性 など
治療法 咬合調整
デメリット 歯の削除
治療回数 時間 1回2時間
費用 55,080
当院の標準治療費など
https://www.alpark-dental.com/medical_expenses

この記事を書いた人
亀田 浩司
医)アルパーク歯科・矯正・栄養クリニック 理事長
長崎大学歯学部卒業、広島大学歯学部付属病院をへて、アルパーク歯科開業。
より良い歯科医療に携わりたく、自由診療専門に転換し、歯科医5人まで拡大。
その後、内容の深さを重視する診療に転換し、患者数1日2人にする。
一般的な歯科治療に満足できない患者さんが来院している。
目標「あなたもできる20年虫歯なし」
そのために大切な事3つ。1、ホリスティック(全人的)な対応。2、精密で長持ちする治療。3、楽な治療(痛みを感じず、寝る事ができる)。
特に大切にしているのは、ホリスティックな対応。1、患者さんの心配を解消し、前に進む勇気を得る。2、歯の問題を学びとし、心をセルフケアする。3、よりハッピーな人生になる。



